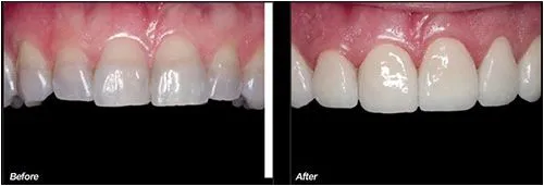
Teeth that are badly stained, shaped or crooked may be improved by a
veneer placed on the surface of the affected teeth.
Veneers are thin pieces of porcelain or plastic cemented over the front
of your teeth to change their color or shape. Veneers are used on teeth
with uneven surfaces or are chipped, discolored, oddly shaped, unevenly
spaced or crooked. Little or no anesthesia is needed. Veneers have a
longer life expectancy and color stability than bonding, and highly
resist permanent staining from coffee, tea, or even cigarette smoking.
Veneers are usually made by a dental lab technician working from a model
provided by your dentist. Veneers are usually irreversible because it`s
necessary to remove a small amount of enamel from your teeth to
accommodate the shell.
Porcelain veneers can mask undesirable defects, such as teeth stained by
tetracycline, by an injury, or as a result of a root-canal procedure,
and are ideal for masking discolored fillings in front teeth. Patients
with gaps between their front teeth or teeth that are chipped or worn
may consider porcelain veneers.
Typically, veneers entail at least three appointments: diagnosis and
treatment planning, preparation, and bonding.
During the tooth preparation visit, usually lasting one to two hours,
the teeth are lightly buffed to allow for the small added thickness of
the veneer. Usually, about a half a millimeter of the tooth is removed,
which may require a local anesthetic. During the same visit, a mold is
taken of the teeth, and sent to the laboratory for the fabrication of
the veneers.
During the final "bonding" visit, also about one or two hours, the
veneers are placed on the tooth surface with water or glycerine on the
teeth to check their fit and get a sense of the shade or color. While
the veneers are resting on your teeth, they can be adjusted with various
shades of cement to match the color of your teeth. To apply the veneer,
the tooth is cleansed with specific chemicals to achieve a bond. Once a
special cement is sandwiched between the veneer and tooth, a visible
light beam, or laser, causes a catalyst to be released, hardening the
cement.
During a two-week period of adjustment that follows, you may notice the
change of size and shape in your teeth. It is important to brush and
floss daily. After one or two weeks, you`ll return for a follow-up
appointment. Porcelain veneers are reasonable facsimiles of natural
teeth, not perfect replacements. It`s not uncommon to see slight
variations in the color of porcelain veneers upon close inspection, as
this occurs even in natural teeth.
For certain patients no preparation of the teeth may be necessary.
Please see our specialties page for more information.